أعلنت جامعة الاسكندرية نجاح تمكن فريق من أطباء قسم جراحة القلب والصدر والتخدير والمعاونين بمستشفيات جامعة الإسكندرية من إجراء جراحة دقيقة بالغة الخطورة لأحد المرضى المحجوزين من قطاع غزة.
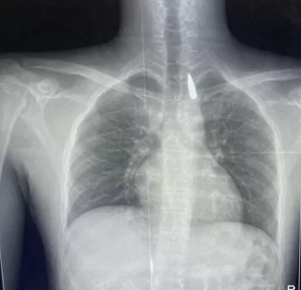
الذي كان قد تعرض لإصابة بطلق ناري في الرأس منذ فترة إستقر المقذوف على إثرها داخل تجويف القفص الصدري قرب الشريان الأورطي وهو أكبر وأهم شرايين الجسم والمسؤول عن تغذية جميع الأعضاء الحيوية
فيما كشف الدكتور تامر عبد الله عميد كلية الطب ورئيس مجلس إدارة المستشفيات الجامعية أن الفريق الطبي نجح في إستخراج المقذوف بأمان بعد عملية جراحية نادرة إستمرت عدة ساعات داخل المستشفى الجامعي الجديد حيث خضع المريض بعدها للرعاية الطبية اللازمة وحالته حاليًا مستقرة وتحت المتابعة الدقيقة من الفريق المختص
من جانبه أعرب الدكتور عبد العزيز قنصوة رئيس جامعة الإسكندرية أن ذلك التدخل الطبى تم في إطار الدور الوطني والإنساني الذي تؤديه جامعة الإسكندرية تنفيذًا لتوجيهات القيادة السياسية ووزارة التعليم العالي والبحث العلمي بتقديم الدعم الطبي للأشقاء من المصابين في قطاع غزة وتوفير أفضل سبل العلاج لهم داخل المستشفيات الجامعية
مؤكدا فخره بهذا النجاح الذي يجسد الكفاءة العالية للفريق الطبي بالمستشفيات الجامعية ويعكس المكانة الطبية والعلمية المتميزة لجامعة الإسكندرية وقدرتها على التعامل مع العمليات المعقدة والحالات الدقيقة وفق أعلى معايير الجودة والرعاية الصحية.
تؤكد جامعة الإسكندرية إستمرارها في توفير الدعم الطبي والعلاجي للحالات المحولة إليها إنطلاقًا من دورها الوطني والإنساني ورسالتها في خدمة المجتمع ودعم الأشقاء العرب في مختلف المواقف











